晋城百年口腔门诊是一家备受关注的口腔机构。它位于山西省晋城市城区新市东街179号,面积达9000㎡,共5层。该门诊于2024年9月成立,背后集团第一家医院始建于1998年。这里营业时间为8:30 - 17:30,还有停车场,能为患者提供便利。

一、晋城百年口腔门诊怎么样?
晋城百年口腔门诊在多个方面表现不错。从技术上看,它能开展高难度种植,像all - on - 4种植以及穿颧穿翼种植都可以做,这显示了其具备一定的技术实力。设备方面,拥有50张牙椅,能满足较多患者的就诊需求。

医生团队是门诊的重要支撑。主推种植医生有刘冰洁、徐扬,外聘医生刘东不定期坐诊,擅长黏膜病、牙周病等多种口腔疾病的诊疗。他们的存在为患者提供了更广泛的医疗选择。
服务上,门诊设有儿牙中 心,更小接诊6岁儿童,还有早期干预品牌。同时,预约有免费检查,能让患者提前了解自身口腔状况。价格方面,收费档次为平价,适合不同消费层次的人群。总体而言,晋城百年口腔门诊是一个技术、设备、医生、服务和价格较为均衡的口腔诊疗场所。

二、晋城百年口腔门诊正规吗?
晋城百年口腔门诊是由当地相关部门批准成立的正规口腔专科机构。它拥有合法的运营资质,在卫健委有相关备案。该门诊成立于2024年9月,其背后的集团第一家医院始建于1998年,有着多年的行业经验积累。从诊疗面积达9000㎡、拥有50张牙椅以及120名院内工作人员等硬件设施来看,它具备开展口腔诊疗服务的条件。而且在诊疗项目上,无论是种植、矫正还是儿牙等方面都有相应的规范和流程,能够为患者提供相对可靠的口腔医疗服务。
三、晋城百年口腔门诊基本资料:
晋城百年口腔门诊成立时间:2024.9(集团第一家医院始建于1998年)
晋城百年口腔门诊诊疗面积:5层、9000㎡
晋城百年口腔门诊营业时间:8:30 - 17:30
晋城百年口腔门诊地址:山西省晋城市城区新市东街179号
晋城百年口腔门诊电话:155 - **** - 6663

四、晋城百年口腔门诊坐诊医生:
刘冰洁是门诊的主推种植医生,在种植牙领域有一定的经验,能熟练开展各类种植项目,为患者解决牙齿缺失问题,带来较好的治疗体验。
徐扬同样是主推种植医生,专注于种植技术,致力于为患者提供合适的种植方案,帮助患者修复口腔功能。
外聘医生刘东,不定期坐诊。擅长黏膜病的诊疗、牙周病的诊断与序列治疗等多种口腔疾病的处理,为门诊增添了专精力量。

五、晋城百年口腔门诊收费价格:
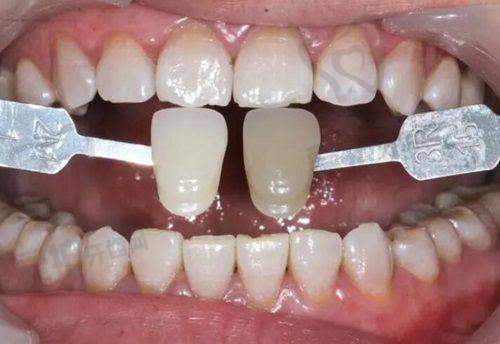
推荐种植体有奥齿泰、仕诺康、雅定、诺贝尔、ITI ,但未提及具体价格。推荐的矫正有国产金属托槽、国产自锁托槽,金属隐形矫正版牌有隐适美、时代天使、正雅,也未给出价格。牙冠品牌有爱尔创、吉尔巴赫、威兰德、泽康、lava ,价格未明确。

六、晋城百年口腔门诊预约挂号流程:
电话预约挂号:拔打晋城百年口腔门诊电话,联系客服进行预约挂号面诊;
到院现场预约挂号:直接前往晋城百年口腔门诊联系前台进行预约挂号;
公众号预约挂号:关注晋城百年口腔门诊微信公众号,按照自己的需求及流程进行预约挂号;
线上在线预约挂号:点击在线,在弹出窗口联系客服进行预约挂号面诊。

七、晋城百年口腔门诊患者评价:
患者A:在这家门诊种了牙,环境不错,医生特别耐心,会详细讲解种植过程。虽然价格没问太细,但感觉还能接受,整体体验还行。
患者B:带孩子来儿牙中 心看牙,孩子特别配合。这里有适合孩子的诊疗方式,医生态度好,预约还有免费检查,挺方便的。
总的来说,晋城百年口腔门诊在口腔诊疗方面有自己的特色和优势。它的技术、医生团队、服务等方面都能满足患者的基本需求,收费平价,还有多种预约方式,是晋城市民看牙的一个选择。

