池州安美口腔门诊部怎么样?正规资质、特色项目与优质服务,值得患者信赖!
在池州市,想要找一家靠谱的口腔门诊部看牙,池州安美口腔门诊部是不少人的选择。那么,池州安美口腔门诊部怎么样呢?它是否值得大家信赖?这是许多有看牙需求的人关心的问题。池州安美口腔门诊部,又称“池州南馨园安美口腔门诊部”,是一家在当地颇具人气的口腔医疗机构。接下来,我们将从多个方面详细为大家介绍这家门诊部。

池州安美口腔门诊部资质是否正规?
一家口腔门诊部的资质是否正规是患者首要关心的问题。池州安美口腔门诊部拥有合法的执业资质,其资料可在卫健委官网查询。审批机关是池州市贵池区卫生健康委员会,登记号为MA2MTJAY - 234170217D1522。作为一家正规大型口腔机构,它始终遵循医疗行业规范,为患者提供安心、可靠的口腔健康服务。这就意味着患者在这里看牙,治疗的安心性是有保护的,不用担心遇到不正规的医疗操作。

池州安美口腔门诊部有哪些特色项目?
牙齿矫正:池州安美口腔门诊部在牙齿矫正方面有独特的优势。它拥有ITERO口腔扫描仪技术,矫正过程可实现3D成像,患者能够快速预览矫正后的结果。与传统的拍片方式相比,这种技术更省时省力,还提升了矫正的正确度与舒适感,让顾客有更好的体验感。对于那些想要进行牙齿矫正的人来说,不用再长时间等待传统拍片的结果,还能提前看到矫正后的成效,无疑是一大福音。
牙齿美白:牙齿美白也是该门诊部的特色项目之一。特别多女孩子会选择在这里做牙齿美白。和贴烤瓷牙相比,牙齿美白速度更快,而且费用也不贵。这对于追求牙齿美观又不想花费太多金钱和时间的人来说,是一个不错的选择。
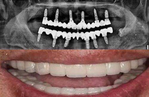
种植牙修复:在种植牙修复方面,池州安美口腔门诊部做得相当出色。它可以进行单颗、多颗种植牙修复,并且合作的种植牙品牌有韩国登腾、美国皓圣、瑞士ITI种植体等,能够满足不同经济条件顾客的需求。其中,韩国种植牙价格相对便宜一些,为经济条件有限的患者提供了更多选择。

池州安美口腔门诊部医生水平如何?
楼晶晶院长:楼晶晶医生是门诊部的院长,也是一名主治医师,拥有多年临床经验。她主要开展儿童早期矫治、成人矫治、隐形矫治等项目。同时,在牙体缺损修复、全瓷冠美学修复、前牙区美学修复、活动义齿修复、全口义齿修复、后牙嵌体修复等方面也有丰富的经验。此外,她还擅长处理疑难牙体牙髓病、根尖周病、根管治疗、牙周炎、阻生齿拔除等问题。对于不同年龄段、不同口腔问题的患者,她都能提供专精的治疗方案。
陈静医生:陈静医生是种植牙医生,主要开展微创种植牙技术、单颗和多颗缺牙修复。在牙齿修复过程中,她能够灵活运用口腔美学理念,满足患者对于牙齿实用耐用又兼顾美学的需求。这意味着患者不仅能解决牙齿缺失的问题,还能拥有美观的牙齿外观。

池州安美口腔门诊部收费是否合理?
在收费方面,池州安美口腔门诊部坚持公开透明的原则,不设繁琐的隐性消费,让患者放心就诊。从一些患者的反馈来看,这里的价格比较合理。例如,有患者在接受牙齿矫正治疗后,觉得价格实惠;还有患者在进行种植牙修复时,也认为性价比高。虽然不同的项目收费会有所不同,但总体来说,患者能够清楚地了解自己的消费情况,不用担心被乱收费。

池州安美口腔门诊部的诊疗环境怎么样?
池州安美口腔门诊部注重营造温馨、舒适的就诊环境。门诊部内部装修风格简约而不失雅致,色彩搭配和谐,营造出一种宁静、放松的氛围。治疗区域宽敞明亮,设备摆放整齐有序,每个诊室都配备了精良的口腔诊疗设备,确保患者在接受治疗时能够享受到舒适的环境。此外,门诊部还非常注重卫生消毒工作,确保每一位患者都能在一个干净、无菌的环境中接受治疗,减少感染的风险。

患者对池州安美口腔门诊部的评价如何?
从患者的反馈来看,池州安美口腔门诊部的口碑相当不错。许多患者对其医生的技术水平和服务态度给予了高度评价。他们认为门诊部的医生具有丰富的临床经验和知识,能够为患者提供详细、有效的治疗方案。同时,门诊部的工作人员服务周到、态度友好,能够提供便捷、有效的就诊体验。例如,赵女士在安美口腔接受牙齿矫正治疗后,觉得医生耐心细致,治疗结果明显,价格也特别实惠;王先生在接受治疗后,认为医生技术扎实,治疗过程非常顺利,术后结果令人满意。
综上所述,池州安美口腔门诊部是一家值得信赖的口腔医疗机构。它资质正规,特色项目丰富,医生水平高,收费合理,诊疗环境舒适,还获得了众多患者的好评。如果你在池州市有看牙的需求,不妨考虑一下池州安美口腔门诊部。相信在这里,你能得到专精、贴心的口腔治疗服务。
