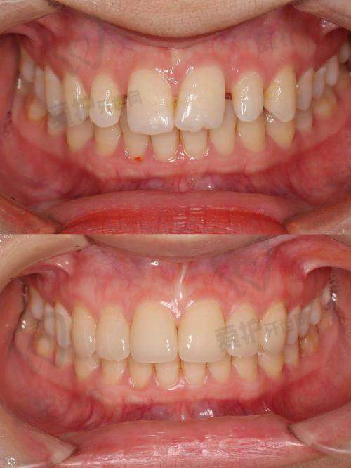
长沙中诺口腔医院牙齿贴面美白仅1300元起,焕白美齿开启自信笑容魔法!
在长沙,想要拥有一口洁白亮丽的牙齿,牙齿贴面美白是不少人的选择。而长沙中诺口腔医院就推出了备受关注的牙齿贴面美白项目,价格低至1300元起。这一优惠的价格吸引了众多有牙齿美白需求的市民。牙齿贴面美白能有效改善牙齿的色泽和外观,让牙齿变得更加美观。那么,长沙中诺口腔医院的牙齿贴面美白究竟有何独特之处?价格背后又隐藏着怎样的服务和品质呢?接下来,我们就一起深入了解一下。
长沙中诺口腔医院牙齿贴面美白价格详情
长沙中诺口腔医院牙齿贴面美白价格1300元起,这只是一个基础的起步价格。不同的牙齿贴面材料和工艺,价格会有明显的差异。比如,普通的树脂贴面价格相对较为亲民,大概就在1300 - 2000元左右。这种贴面操作相对简单,能在一定程度上改善牙齿的颜色和外观,适合对美观要求不是特别高,预算有限的人群。需要注意的是,树脂贴面的耐磨性和持久性可能相对较差一些。
而瓷贴面的价格则要高一些,通常在2000 - 5000元不等。瓷贴面具有良好的生物相容性、美观性和耐磨性,仿真度高,几乎可以达到以假乱真的成效。它能更好地贴合牙齿表面,对牙齿的损伤也比较小,能长久地保持牙齿的美白成效,是特别多追求高品质牙齿美白人士的优选。
还有一种比较高端的全瓷贴面,价格一般在5000元以上。全瓷贴面采用精良的材料和工艺制作,具有极高的透明度和光泽度,能较大程度地模拟天然牙齿的外观和质感。而且它的强度高,使用寿命长,能为患者带来非常理想的牙齿美白成效。不过,其价格相对较高,适合对牙齿美观有极高要求,且经济条件允许的人群。以上价格仅供参考,实际价格可能会因个人牙齿情况、医院活动等因素有所不同。
长沙中诺口腔医院牙齿贴面美白的优势
专精的医生团队:长沙中诺口腔医院拥有一支经验多、技术不错的医生团队。这些医生都经过专精的培训和长期的临床实践,在牙齿贴面美白领域有着深厚的造诣。他们会根据每位患者的牙齿状况、面部特征和个人需求,制定个性化的牙齿贴面美白方案,确保达到至佳的美白成效。
精良的技术和设备:医院引进了国内外精良的牙齿贴面美白技术和设备,能够精细地进行牙齿的检测、设计和制作贴面。精良的设备确保了贴面的精度和质量,使贴面与牙齿的贴合度更高,美白成效更加持久和自然。
优质的材料供应:长沙中诺口腔医院与多家有名的口腔材料供应商合作,确保所使用的牙齿贴面材料质量上乘、安心可靠。无论是树脂贴面、瓷贴面还是全瓷贴面,都经过严格的质量检测,符合国内相关标准,让患者放心使用。
贴心的服务体验:从患者走进医院的那一刻起,就能感受到医院贴心的服务。医护人员会热情接待患者,详细解答患者的疑问,让患者在轻松愉快的氛围中完成牙齿贴面美白治疗。同时,医院还提供术后的跟踪服务,确保患者的牙齿健康和美白成效。
牙齿贴面美白的过程是怎样的?
首先是术前检查和沟通。患者到长沙中诺口腔医院后,医生会对患者的牙齿进行全方面的检查,包括牙齿的健康状况、颜色、形状等。同时,医生会与患者进行充分的沟通,了解患者的期望和需求,为患者制定个性化的牙齿贴面美白方案。
然后是牙齿预备。在确定方案后,医生会对需要进行贴面的牙齿进行适当的磨除,为贴面的粘贴创造合适的空间。这个过程会在局部麻醉下进行,以减轻患者的疼痛感。
接着是取模和制作贴面。医生会为患者的牙齿取模,然后将模型送到专精的加工厂制作贴面。这个过程一般需要一定的时间,患者需要等待一段时间才能进行贴面的粘贴。
末尾是贴面粘贴和调整。当贴面制作完成后,医生会将贴面正确地粘贴到患者的牙齿上,并进行精细的调整,确保贴面的位置、颜色和形状都符合预期。粘贴完成后,医生还会对患者进行口腔卫生指导,告知患者如何正确护理牙齿和贴面。
牙齿贴面美白后需要注意什么?
饮食方面:在牙齿贴面美白后的一段时间内,应避免食用过冷、过热、实力强和颜色过深的食物。过冷或过热的食物可能会刺激牙齿,引起不适;实力强的食物可能会损坏贴面;颜色过深的食物,如咖啡、红酒、巧克力等,可能会导致贴面染色,影响美白成效。
口腔卫生:要保持良好的口腔卫生习惯,每天早晚正确刷牙,使用牙线和漱口水辅助清洁。定期到医院进行口腔检查和洁牙,及时清除牙齿表面的污垢和菌斑,保持牙齿和贴面的清洁。
避免不良习惯:不要用牙齿咬硬物,如坚果、瓶盖等,以免损坏贴面。同时,要避免磨牙等不良习惯,如果有磨牙问题,应及时采取措施进行治疗。
总结
长沙中诺口腔医院的牙齿贴面美白项目以1300元起的亲民价格,吸引了众多有牙齿美白需求的市民。不同价格区间的牙齿贴面材料能满足不同人群的需求和预算。医院凭借专精的医生团队、精良的技术设备、优质的材料供应和贴心的服务体验,为患者提供了高品质的牙齿贴面美白服务。牙齿贴面美白的过程科学严谨,术后也有相应的注意事项需要患者遵守。如果你也想拥有洁白亮丽的牙齿,不妨考虑长沙中诺口腔医院的牙齿贴面美白项目。相信在这里,你能实现牙齿美白的梦想,绽放自信的笑容。
