乌鲁木齐正博口腔杨强医生开展美舒达种植牙,仅1580元起,实惠又可靠!
在乌鲁木齐的口腔医疗领域,乌鲁木齐正博口腔一直以来都备受关注。而其中,杨强医生所开展的美舒达种植牙项目更是吸引了众多缺牙患者的目光。美舒达种植牙以其相对亲民的价格,1580 元起的收费标准(此价格仅供参考),为广大有种植牙需求的市民提供了一个新的选择。牙齿缺失不仅影响美观,还会对日常饮食和口腔健康造成诸多不利影响,因此种植牙成为了特别多人的优选修复方式。那么乌鲁木齐正博口腔的杨强医生在美舒达种植牙方面究竟有怎样的优势呢?接下来我们就详细了解一下。
乌鲁木齐正博口腔是一家怎样的医院?
乌鲁木齐正博口腔是当地一家颇具规模和影响力的口腔专科医院。医院拥有精良的口腔诊疗设备,从口腔 CT 到种植手术所需的精密仪器,一应俱全。这些设备能够为医生的诊断和治疗提供正确的数据支持,确保治疗方案的精细性。医院的环境也十分舒适宜人,宽敞明亮的候诊区、温馨整洁的诊疗室,让患者在就诊过程中感受到轻松和安心。此外,医院还注重服务质量,医护人员热情周到,从患者进门的那一刻起,就会有专门的导医为其提供指引和帮助,解答患者的疑问,让患者能够顺利完成整个就诊流程。
杨强医生在种植牙领域有何专长?
杨强医生是乌鲁木齐正博口腔的从业多年种植骨干医生,他拥有丰富的临床经验和扎实的专精知识。在多年的口腔临床工作中,他积累了大量的种植牙实例,对于各种复杂的种植牙情况都能够熟练应对。他擅长根据患者的具体口腔状况、身体条件和个人需求,制定个性化的种植牙方案。在手术过程中,他操作精细,手法娴熟,能够较大程度地减少患者的痛苦和创伤,提高种植牙的成功几率。而且杨强医生还不断学习和掌握国内外精良的种植牙技术,始终保持在行业的前列水平,为患者提供更优质的治疗服务。
美舒达种植牙有什么特点?
美舒达种植牙是一种性价比较高的种植牙品牌。它采用了精良的材料和工艺,种植体的生物相容性良好,能够与人体牙槽骨更好地结合,从而提高种植牙的稳定性和使用寿命。美舒达种植牙的外观也十分自然逼真,几乎可以达到以假乱真的成效,能够良好地修复患者的牙齿美观。在功能方面,它能够像真牙一样正常咀嚼食物,让患者重新享受美食的乐趣。此外,美舒达种植牙的维护相对简单,只要患者保持良好的口腔卫生习惯,定期到医院进行复查和维护,就能够长期使用。
1580 元起的美舒达种植牙价格是如何构成的?
这里所说的 1580 元起的美舒达种植牙价格仅供参考,它只是一个基础的价格范围。具体的价格会根据患者的口腔情况、种植体的型号和规格、手术的复杂程度等因素而有所不同。如果患者的口腔条件较好,不需要进行额外的治疗,如骨增量手术等,那么价格可能会相对较低,接近基础价格。但如果患者存在牙槽骨吸收重度、牙龈炎症等问题,就需要精良行相应的治疗,这会增加治疗的成本,从而使种植牙的价格升高。此外,不同的种植体型号和规格在性能和质量上也存在差异,价格也会有所不同。患者可以根据自己的经济实力和医生的建议,选择适合自己的种植体。
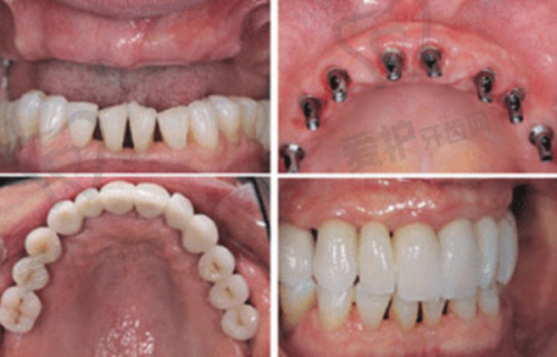
乌鲁木齐正博口腔杨强美舒达种植牙的手术流程是怎样的?
首先,患者需要到乌鲁木齐正博口腔进行全方面的口腔检查,包括口腔 CT 扫描、牙周检查等,以确定患者的口腔状况和是否适合进行种植牙手术。杨强医生会根据检查结果,为患者制定个性化的种植牙方案,并向患者详细解释手术的过程、风险和注意事项。在患者同意手术方案后,会进行术前的准备工作,如清洁口腔、局部麻醉等。然后,医生会在患者的牙槽骨上植入种植体,这是整个手术的关键步骤。植入后,需要等待一段时间,让种植体与牙槽骨充分结合,这个过程通常需要几个月的时间。末尾,当种植体与牙槽骨结合良好后,医生会安装基台和牙冠,完成整个种植牙的修复过程。
乌鲁木齐正博口腔杨强美舒达种植牙的术后护理需要注意什么?
术后护理对于种植牙的成功和长期使用至关重要。患者在术后当天应避免刷牙和漱口,以免引起伤口出血。饮食方面,应避免食用辛辣、刺激性食物和实力强的食物,以免损伤伤口。可以选择一些清淡、易消化的食物,如粥、面条等。患者还需要按照医生的嘱咐服用抗生素和止痛药,以预防感染和减轻疼痛。在伤口愈合期间,要保持口腔清洁,使用医生推荐的漱口水进行漱口。术后患者需要定期到医院进行复查,医生会检查种植体的愈合情况和口腔卫生状况,及时发现问题并进行处理。
乌鲁木齐正博口腔杨强美舒达种植牙与其他品牌种植牙相比有哪些优势?
与其他品牌的种植牙相比,乌鲁木齐正博口腔杨强美舒达种植牙的较大优势之一就是价格相对亲民。1580 元起的价格让更多的患者能够承受得起种植牙的费用,解决了特别多患者因经济原因而无法进行种植牙修复的难题。在技术和服务方面,杨强医生丰富的临床经验和专精的技术水平,能够为患者提供高质量的种植牙手术。正博口腔精良的设备和优质的服务环境,也为患者的治疗提供了有力的保护。美舒达种植牙本身的特点也使得它在市场上具有一定的竞争力,良好的生物相容性和自然逼真的外观,能够满足患者对于种植牙的多种需求。
如何预约乌鲁木齐正博口腔杨强医生的美舒达种植牙手术?
患者可以通过多种方式预约乌鲁木齐正博口腔杨强医生的美舒达种植牙手术。可以直接拨打医院的预约电话,向工作人员说明自己的需求和预约时间,工作人员会为患者安排合适的就诊时间。患者也可以在医院的法定网站或微信公众号上进行在线预约,填写相关的信息并提交预约申请,医院会及时回复并确认预约信息。还可以到医院的前台进行现场预约,与工作人员当面沟通,确定预约时间。在预约时,患者更好提前准备好自己的病历资料和相关检查报告,以便医生更好地了解患者的情况。
乌鲁木齐正博口腔杨强美舒达种植牙的患者评价如何?
从众多患者的评价来看,乌鲁木齐正博口腔杨强美舒达种植牙获得了较高的满意度。特别多患者表示,在手术过程中,杨强医生非常专精和细心,让他们感到特别安心。术后种植牙的成效也让他们十分满意,不仅修复了牙齿的美观和功能,而且几乎没有出现不适的症状。对于价格方面,患者也认为 1580 元起的价格特别实惠,相比其他医院的种植牙费用要低特别多。一些患者还提到,医院的服务周到,医护人员的态度热情,让他们在就诊过程中感受到了温暖和关怀。当然,也有个别患者可能对手术的修复时间等方面有一些不同的看法,但总体来说,乌鲁木齐正博口腔杨强美舒达种植牙还是得到了大多数患者的认可和好评。
综上所述,乌鲁木齐正博口腔杨强美舒达种植牙以其专精的医生团队、优质的种植牙品牌、相对亲民的价格和良好的服务质量,为乌鲁木齐地区的缺牙患者提供了一个理想的种植牙选择。如果您有种植牙的需求,不妨考虑乌鲁木齐正博口腔,相信在这里您能够得到满意的治疗成效。但需要再次提醒的是,1580 元起的美舒达种植牙价格仅供参考,具体价格还需根据个人实际情况确定。在进行种植牙手术前,一定要充分了解相关信息,与医生进行充分沟通,选择更适合自己的治疗方案。
