重庆团圆口腔李志锋操刀以色列种植牙3500元起,实惠之选焕新口腔!
在重庆,牙齿缺失的朋友们常常在寻找一家靠谱且性价比高的口腔医院进行种植牙手术。重庆团圆口腔医院进入了大众的视野,其中李志锋医生开展的以色列种植牙项目更是备受关注,价格3500元起。这个价格对于许多想要改善牙齿状况的人来说,无疑具有较大的吸引力。那么,重庆团圆口腔医院究竟如何?李志锋医生的技术怎么样?以色列种植牙又有哪些优势呢?接下来,让我们一起深入了解。
重庆团圆口腔医院:值得信赖的口腔诊疗机构
重庆团圆口腔医院是一家在当地颇具有名度的口腔专科医院。医院拥有精良的医疗设备和舒适的诊疗环境。从患者进入医院的那一刻起,就能感受到专精的服务。前台工作人员热情接待,引导患者挂号、就诊。医院的候诊区宽敞明亮,设有舒适的座椅和饮水机,让患者在等待的过程中也能感到放松。
医院的科室设置齐全,涵盖了口腔种植、口腔正畸、口腔修复、口腔内科、口腔外科等多个领域。其中,口腔种植科是医院的重点科室之一。该科室汇聚了一批经验多、技术不错的医生团队,他们不断学习和掌握国内外精良的种植技术,为患者提供个性化的种植方案。
李志锋医生:经验多的种植牙骨干医生
李志锋医生是重庆团圆口腔医院口腔种植科的骨干医生。他从事口腔种植工作多年,积累了丰富的临床经验。李志锋医生毕业于有名的口腔医学校校,接受过系统的口腔医学教育。在工作中,他不断参加国内外的学术交流活动,学习全新的种植技术和理念。
李志锋医生对待每一位患者都非常认真负责。在为患者进行种植牙手术前,他会详细了解患者的口腔状况、身体状况和需求,制定出更适合患者的种植方案。在手术过程中,他操作熟练、精细,能够较大程度地减少患者的痛苦和创伤。术后,他还会对患者进行跟踪随访,确保种植成效和患者的口腔健康。
以色列种植牙:高品质的种植选择
以色列种植牙在国内外上享有特别高的声誉。以色列的种植技术处于海内外领跑水平,其种植体采用了精良的材料和工艺,具有良好的生物相容性和稳定性。以色列种植牙的表面处理技术能够促进种植体与牙槽骨的快速结合,缩短种植周期。
以色列种植牙的种类丰富,包括不同品牌和型号,可以满足不同患者的需求。例如,有些种植体适合骨质较好的患者,而有些则更适合骨质较差的患者。患者可以在李志锋医生的建议下,选择更适合自己的种植体。
3500元起的以色列种植牙价格分析
重庆团圆口腔医院李志锋医生开展的以色列种植牙项目价格3500元起,这个价格是分阶体现的。这里需要强调的是,此价格仅供参考,实际价格会因多种因素而有所不同。
首先,种植体的品牌和型号会影响价格。不同品牌的以色列种植体,其研发成本、生产工艺和性能都有所差异,因此价格也会有所不同。一般来说,有名品牌的种植体价格相对较高,但质量和稳定性也更有保护。
其次,患者的口腔状况也会对价格产生影响。如果患者的牙槽骨条件较好,种植手术相对简单,价格可能会相对较低。但如果患者的牙槽骨条件较差,需要进行骨增量手术等额外的治疗,那么价格就会相应增加。
此外,医院的收费标准也会受到地区、运营成本等因素的影响。重庆团圆口腔医院在确保医疗质量的前提下,通过合理的成本控制,为患者提供了相对实惠的价格。
以色列种植牙的优势与成效
以色列种植牙具有众多优势。从功能方面来看,种植牙能够修复牙齿的咀嚼功能,让患者可以像正常牙齿一样咀嚼食物。与传统的假牙相比,种植牙更加稳固,不会出现松动、移位等问题。
在美观方面,以色列种植牙的外观与天然牙齿非常相似,几乎可以达到以假乱真的成效。它不会影响患者的面部美观,让患者在微笑时更加自信。
从使用寿命来看,以色列种植牙的使用寿命较长。如果患者能够做好口腔护理,种植牙可以使用数十年甚至终身。许多患者在进行以色列种植牙手术后,都对种植成效非常满意,生活质量得到了显著提高。
重庆团圆口腔医院的服务保护
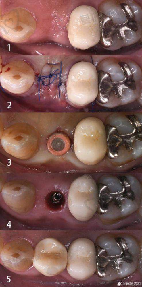
重庆团圆口腔医院为患者提供了全方面的服务保护。在术前,医院会为患者进行全方面的口腔检查,包括口腔X光片、CT扫描等,以正确了解患者的口腔状况。李志锋医生会根据检查结果,为患者制定个性化的种植方案,并向患者详细解释手术过程和注意事项。
在术中,医院严格遵循无菌操作原则,确保手术的安心和卫生。手术室配备了精良的麻醉设备和监护设备,能够较大程度地保护患者的安心。李志锋医生和他的团队会密切关注患者的情况,及时处理手术中出现的问题。
术后,医院会为患者提供详细的护理指导,包括饮食、口腔清洁等方面。医生会定期对患者进行复查,了解种植体的愈合情况和患者的口腔健康状况。如果患者在术后遇到任何问题,都可以随时联系医院,医院会及时为患者提供解决方案。
患者实例分享
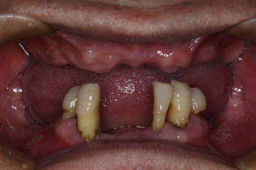
为了让大家更好地了解重庆团圆口腔医院李志锋医生开展的以色列种植牙项目,下面为大家分享一个患者实例。张先生是一位50多岁的患者,由于长期的牙齿缺失,导致咀嚼功能下降,面部也出现了一定程度的凹陷。他在朋友的推荐下来到了重庆团圆口腔医院。
李志锋医生为张先生进行了详细的检查后,建议他进行以色列种植牙手术。在与张先生充分沟通后,制定了适合他的种植方案。手术过程非常顺利,张先生在术后修复得也特别快。现在,张先生已经成功戴上了种植牙,他的咀嚼功能得到了明显改善,面部也修复了饱满。张先生对种植成效非常满意,他说:“没想到种植牙能让我的生活发生这么大的改变,感谢重庆团圆口腔医院和李志锋医生。”
总结
重庆团圆口腔医院李志锋医生开展的以色列种植牙项目,以3500元起的价格为众多牙齿缺失患者提供了一个高品质、性价比高的种植选择。重庆团圆口腔医院作为一家值得信赖的口腔诊疗机构,拥有精良的设备、舒适的环境和专精的服务团队。李志锋医生凭借丰富的临床经验和不错的技术,能够为患者提供个性化的种植方案。以色列种植牙具有良好的生物相容性、稳定性和美观性,能够有效改善患者的口腔功能和生活质量。虽然价格因多种因素而异,但医院通过合理的成本控制,让更多的患者能够享受到优质的种植服务。如果你也有牙齿缺失的困扰,不妨来重庆团圆口腔医院,让李志锋医生为你解决问题。
