武汉仁爱口腔医院种植牙多少钱?多品牌种植牙价格揭秘,性价比之选别错过!
牙齿缺失不仅影响美观,还会给日常饮食和生活带来诸多不便,种植牙便成为了特别多人的选择。在武汉,武汉仁爱口腔医院是不少人关注的口腔医疗机构,大家都十分关心武汉仁爱口腔医院种植牙多少钱。其实,种植牙的价格并非固定不变,它受到多种因素的影响。接下来,我们就详细了解一下武汉仁爱口腔医院种植牙的相关价格情况以及影响因素。
武汉种植牙价格的大致范围是怎样的?
在武汉,单颗种植牙的价格通常在4000元到15000元之间。这个价格区间跨度较大,主要是因为种植牙的具体费用与种植体品牌、牙冠材料、医生技术及医疗机构资质密切相关。不同的选择会导致价格有明显差异,所以大家要根据自身口腔条件和预算理性选择。
种植体品牌对武汉仁爱口腔医院种植牙价格有何影响?
进口品牌:像瑞士(ITI)、瑞典(Nobel)等高端品牌,单颗费用在10000 - 15000元。这些高端进口品牌的种植体在质量和性能上表现出色,适合对咬合功能及长期稳定性要求较高的人群。它们经过了严格的质量检测和大量的临床验证,能够为患者提供更可靠的使用体验。
国产品牌或韩国品牌:如登腾、奥齿泰,价格在4000 - 8000元,性价比较高,适合预算有限且牙槽骨条件较好者。这些品牌在国内市场也有一定的口碑和使用群体,虽然价格相对较低,但在质量和成效上也能满足大多数人的需求。
牙冠材料如何影响武汉仁爱口腔医院种植牙价格?
全瓷冠:价格范围在3000 - 6000元。全瓷冠美观自然,生物相容性好,非常适合前牙修复。它不会出现金属边缘透出影响美观的问题,能够让牙齿看起来更加自然逼真,与周围牙齿融为一体。
烤瓷冠:价格在1500 - 3000元。烤瓷冠是内层金属加上外层瓷的结构,强度高但美观度稍逊。不过,对于一些对美观要求不是特别高的后牙修复,烤瓷冠也是一个不错的选择。
医生技术及附加治疗会使武汉仁爱口腔医院种植牙价格增加多少?
复杂病例(如骨量不足需植骨、上颌窦提升等)会增加费用,可能额外支付2000 - 6000元。因为这些复杂情况需要医生具备更高的技术水平和更丰富的经验,同时也需要使用更多的材料和设备。经验多的医生操作更精细,能够更好地应对各种复杂情况,确保种植牙的长期成效更稳定。
武汉仁爱口腔医院不同时期的种植牙价格是怎样的?
2024年有不同的价格情况。2024年8月28日消息显示,武汉仁爱口腔单颗种植牙价格1840元起一颗,半口种植牙费用1.3万元起,全口种植牙价格3.9万元起,all - on - 6全口种植牙费用在3.9万 - 6万元起。相比于武汉多家口腔机构,武汉仁爱口腔种植牙价格都属于中等偏下的,但是其做种植牙品质并不大折扣。
2024年10月12日的价格信息为,登腾种植牙价格4500元起,美国皓圣种植体价格6500元起,法国安卓健种植系统价格10500元起,瑞士iti种植牙价格12000元起,瑞典诺贝尔种植牙价格12800元起,奥齿泰种植牙价格5600元起,德国种植牙价格8900元起。
2024年11月11日,武汉仁爱口腔医院种植牙价格在1840 - 8900元起,韩国进口种植牙价格1840元起一颗,韩国登腾种植牙价格2600元起一颗,韩国奥齿泰种植牙价格4200元起一颗,美国皓圣种植牙价格5200元起一颗。
到了2025年,价格也有所不同。2025年6月5日的仁爱口腔收费价目表显示,仁爱口腔种植牙价格1980元起,进口任选,价格含种植体 + 基台 + 全瓷冠,无隐形加价。
2025年9月19日的收费标准为,国产百康特种植牙1980元起一颗,韩国登腾种植牙2800元起一颗,德国ICX种植牙8200元起一颗,瑞士ITI标准型种植牙9000元起一颗。
选择武汉仁爱口腔医院种植牙有哪些美学与功能建议?
前牙修复:优先选择全瓷冠,避免金属边缘透出影响美观。全瓷冠的美观成效能够让前牙修复后更加自然,不会出现明显的修复痕迹,确保了面部美观。
咬合设计:根据面部比例调整牙冠形态,确保笑容协调自然。合理的咬合设计不仅能够提高咀嚼效率,还能让整个面部表情更加和谐。
长期维护:定期复查和清洁,延长种植体使用寿命(通常可达15年以上)。患者要按照医生的建议定期到医院进行复查和清洁,保持口腔卫生,这样才能让种植牙更好地为自己服务。
在武汉仁爱口腔医院种植牙有哪些注意事项?
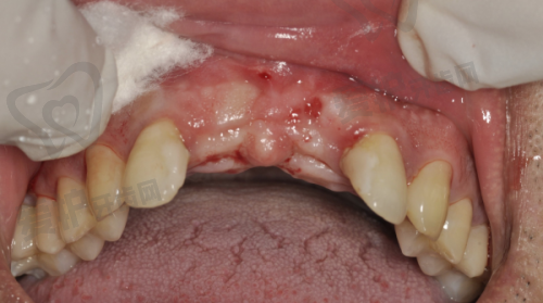
低价风险:价格过低可能使用非正规材料或简化流程,增加感染、松动等风险。大家在选择种植牙时,不能只看价格,要综合考虑医院的资质、医生的技术和材料的质量。
资质核查:确认医疗机构具备《医疗机构执业许可证》,医生有种植牙专精培训背景。只有选择正规的医疗机构和有经验的医生,才能确保种植牙的成效和安心性。
术后护理:避免啃咬硬物,戒烟控糖,减少并发症概率。术后的护理对于种植牙的成功至关重要,患者要严格遵守医生的嘱咐,做好术后护理工作。
总之,武汉仁爱口腔医院种植牙的价格受到多种因素的影响,不同时期也有不同的价格标准。大家在考虑种植牙时,要充分了解各种影响因素,结合自身的口腔条件、预算以及对美观和功能的需求,谨慎做出选择。同时,要重视种植牙的术前评估、术中操作和术后护理,这样才能获得满意的种植牙成效,重拾健康美丽的笑容,享受美食与生活的美好。
